4 年
手机商铺
入驻年限:4 年
细胞生物学销售-张经理
上海 浦东新区
ELISA 试剂盒、抗体、细胞库 / 细胞培养、耗材、技术服务、试剂
生产厂商
公司新闻/正文
355 人阅读发布时间:2023-09-21 15:44
细胞培养总会遇到细胞污染、胞质疏松,状态不好,养不起来,等等问题。今天小编为大家分享一下细胞运输过程中容易出现的一些常见问题分析。
1. 细胞到货后发现脱壁现象,正常吗?如何处理?
· 细胞脱壁的原因
① 细胞本身的特性(293T,Lncap ,RAW264.7,PC12,SHSY5Y)
② 气温过低
③ 快递碰撞

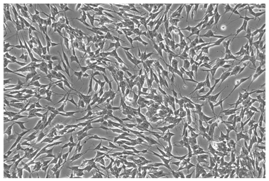
常温运输的C2C12细胞收货时发现脱落

常温运输的Hela细胞收货时发现脱落
· 处理方法
① 脱落的细胞进行离心收集,并在离心管中消化。
② 仍然贴壁的细胞,按照常规方法加入胰酶或其他解离剂消化。
③ 再将消化好的脱落细胞和贴壁细胞混合,按比例接种到新的培养器皿中。

2. 细胞到货后发现皱缩现象,正常吗?如何处理?
· 细胞皱缩的原因
① 路途颠簸
② 温度不稳定

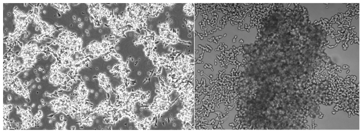
SHSY5Y细胞发货前细胞状态
SHSY5Y常温运输后客户收到的状态: 皱缩或脱落
· 处理方法
① 放入培养箱静置2-4小时。
② 若4小时后仍然没有伸展,延长静置时间。
注意:过夜静置时,需倒出部分培养基,留5-10mL在瓶中,瓶盖拧松透气,保持气体交换(L15培养体系除外)
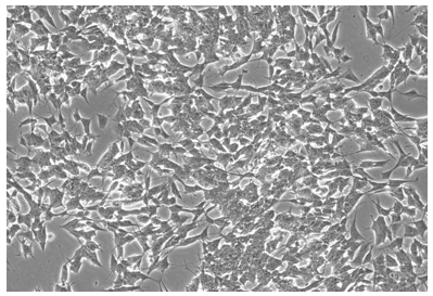
SHSY5Y细胞处理第三天
3. 发现细胞有很多小黑点,正常吗?如何处理?
· 细胞产生小黑点的原因
① 当受到运输环境影响时,细胞会发生应激反应,分泌活动增加,导致分泌蛋白增多,呈黑色圆球状,分布无规律。
② 路途中凋亡的细胞碎裂后将产生细胞碎片,为黑色或透明色,呈不规则状,分布无规律。
③ 有些细胞本身分泌活动较强,培养时常伴随黑点。
· 处理方法
① 贴壁细胞放培养箱静置2-4小时后,正常换液或传代。
② 悬浮细胞800~1000rpm(约160~200g) 低速离心3min去除碎片。通常培养数天后,细胞状态会逐渐稳定下来。

| 小黑点和微生物污染的区别 |
||
| 细胞碎片/分泌物 |
微生物污染 |
|
| 形态 |
大小不一的黑色圆点,或不规则形状 |
圆球状或杆状,形态非常规则 |
| 是否运动 |
原地震动,布朗运动或相对液体静止 |
快速游动,快速转圈或相对液体静止 |
| 分布情况 |
视野中分布无规律 |
视野中分布均匀 |
| 增长情况 |
无抗生素条件下不增多或缓慢增多 |
无抗生素条件下48-72小时内爆发式增多 |
4. T25瓶内充液培养基可以继续使用吗?
细胞种类不同,细胞的运输液不同。
培养瓶内为完全培养基可以继续使用!
培养瓶内为维持培养基不可继续使用!
生物培养瓶上都有明显的标识注明,请一定要按照培养瓶上的标识来判断培养瓶内培养基是否可以继续使用。
5. 什么情况下可以免费重发细胞?
① 超过7天未送达。
② 外包装破损、漏液(需提供照片)。